我還記得那舉步維艱的每一天,和重新學站立、走路的日子…
這場中秋節驚魂日,故事就在2024/9/17中秋節當天
烏梅在家抱著阿珊下樓梯踩空兩個階梯,瞬間就摔倒了,但扭到左腳踝那瞬間,爆痛襲來,本能抱著孩子的手沒放開,神明保佑,孩子沒摔傷,但躺地已無法站立,觀看左腳踝瞬間腫脹與瘀青浮現,身為護理師的直覺是,這鐵定骨折了,無法逞強的狀態,搭了救護車,10分鐘就抵達了醫院。
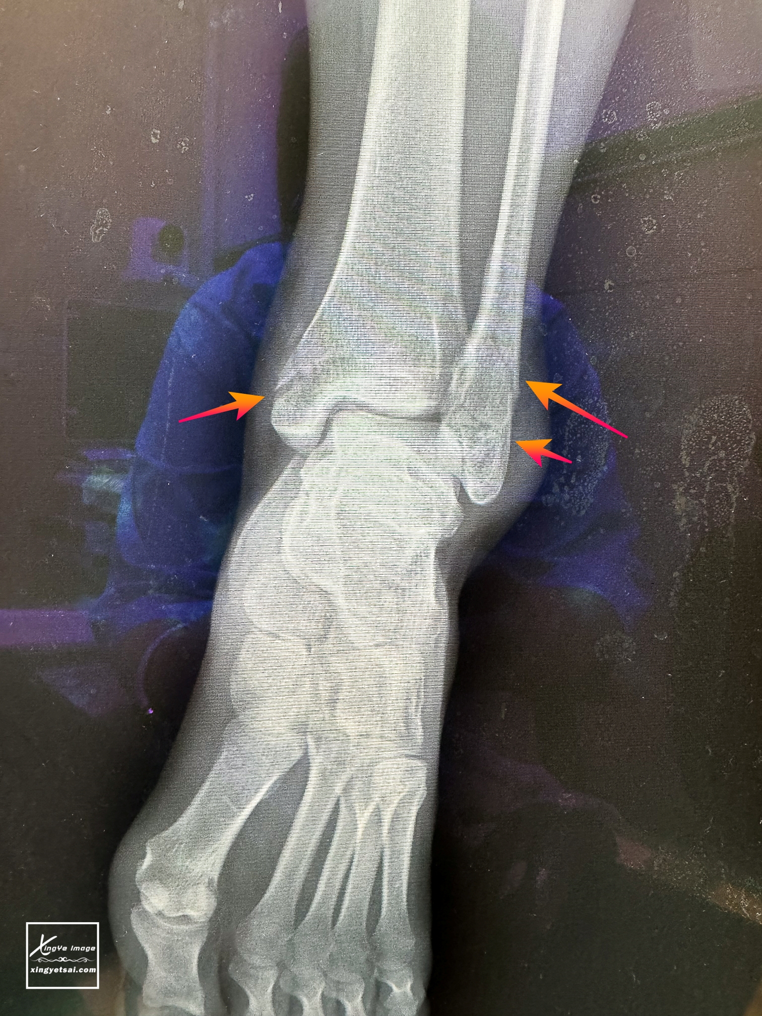
在急診照了X光,左踝關節三踝骨骨折,醫生說傷的挺嚴重,因為左踝關節的左側、右側與後踝都裂了。急診骨科醫師評估需開刀行內固定,自費鈦合金鋼板兩片(一根骨頭需一片),光自費兩片鋼板耗材費用NT$111700,別吃驚,這已經是最便宜的了,以前沒特別在意,竟不知道原來骨傷這麼貴
在健保與醫療體系的支援,很幸運當天下午就馬上安排了手術,左腳踝2條各7-8公分的傷口,真的很心痛,希望未來會引以為戒,小心還要更小心,畢竟,真的沒人知道,我只是回娘家過中秋節,在如此熟悉的地方,竟然會摔傷成這樣。
➔➔此篇文章皆為2024/9的資訊,請斟酌參考。
文章段落列表
-
踩空樓梯,竟然就踝關節三踝骨骨折!!


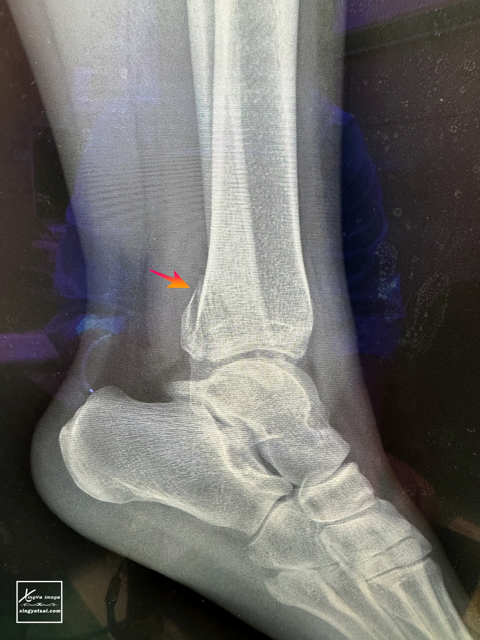
▲三踝骨折:三踝骨折是一種踝關節的骨折,涉及外踝、內踝和後踝,簡單來說是指腳踝處同時發生內、外、後踝三處都骨折

▲烏梅其中一處骨折斷裂較嚴重,達到個人保險裡「完全性骨折」的理賠
-
骨折開刀住院記事


▲腳踝骨折採半身麻醉,不過因為太害怕了,向醫療團隊說明後有注射鎮定劑直接入睡了,醒來後手術也結束了,開刀時間約莫是三個小時,回到病房後當天的傷口會有頻繁滲血的狀況,不過是正常的,通常當天開刀完的紗布是不會拆開更換的,會在手術隔天才會換藥,然後開刀後的第一天,傷口痛到度日如年

▲因為患肢要墊高、抬高,只能說有電動床真的太好了

▲另外術後冰敷很重要,一定要準備好冰敷袋,一次冰敷不超過30分鐘,採用間歇性的冰敷,助於患肢消腫與減緩疼痛,手術後真的是超痛,狂要求打止痛是真的
-
術後第一天手術傷口(會怕傷口者,請不要看!!!)

▲術後第一天的換藥
其實烏梅也很好奇,傷口會長得什麼樣子,長約7-8公分的傷口,看到都心寒了,沒想到是這麼赤裸的傷痕,特別一說腳踝處的皮膚很薄,傷口要注意不可碰水以及固定每日換藥,好好照顧才不會影響預後,術後腳踝、腳背腫脹的程度還不明顯
-
甩開石膏,使用輕型副木

▲術後第二天|照會復健科
開刀後會鼓勵儘早下床,但石膏支架真的很重,即使用助行器,手也沒力氣根本拖不動患肢,醫生會診復健科,說幫我換一個輕一點的護具,所以我真的很期待,到了復健科,拿掉了石膏支架,取而代之的是低溫熱塑型副木,可謂是量身打造的下肢護具,沒親眼見過我還不知道,製作的過程是如此的特別。
將塑材加熱後,在符合腿型後,依照大小適當的剪裁,再製作上黏帶扣與副木外緣的防護撞棉貼,就是現場馬上製作,然後馬上完成,換上了副木移動就變得輕鬆些了,當然副木也是健保給付的喔!骨折使用副木的原則,除了洗澡、換藥等,一般不另外取下,睡覺也是穿著睡,就是穿到醫生說不用穿副木為止。

-
輔具中心免費借輔具

✅關於輔具
骨折後至少六週的時間,患肢不可以負重,實際體會才知道,每一步的前進都好艱難,活動完全只能依靠輔具,出院準備護理師建議使用ㄇ字型助行器,比較穩固,因為術後鼓勵儘早下床,原則上最好在術後第一天就先準備好助行器,醫院也會會診復健科衛教如何使用助行器學走路。
在每個縣市都會有輔具資源中心,可以提供免費借輔具,很佛心因為真的是免費的,我在南投縣第二輔具資源中心申請,輔具最長可借半年,借輔具時提供租借者及代辦者的身分證即可。
跟助行器相處真的比女兒跟我相處的時間還長,非常感謝輔具資源中心與善心人士提供這樣善的循環,有興趣的朋友可以看看網站,服務其實很全面,還有包括輔具維修、輔具衛教與輔具捐贈等資訊。
南投縣政府輔具資源整合網
https://natrc.nantou.gov.tw/
-
骨折住院總花費
-
住院總花費

▲住院約一周,總花費為12萬多,其中自費鈦合金鋼板兩片(一根骨頭需一片),兩片鋼板耗材費用就佔了NT$111700

▲因為單人房預約不到,住了自費雙人房,房間的窗景算是當時最能療癒我的一部分
-
保險好重要
我們家的家庭教育,對保險議題蠻重視的,30年前的烏梅爸就已經提前部署,幫我們家3個孩子規劃個人保險,並不是想特別推崇保險,但至少在人生時光,有個可為你伸出的後援,其實很萬幸,此次左踝關節骨折的住院醫藥費,不多不少也花了十多萬,實支實付加骨折險的總理賠,讓我能很安心休養個好幾個月了,畢竟之後還要面臨未知的復健關卡,保險規劃很重要,畢竟,明天跟意外真的不知誰先來
-
出院後的挑戰
-
術後患肢傷口紀錄



▲傷口照顧主要是在拆線前(術後兩週拆線),切勿碰水或是碰水要儘速傷口護理,減少感染發生,只要順利拆線後,就可以進階將傷口使用美容膠黏貼,淋浴洗澡都沒有大問題囉!
-
術後患肢腫脹紀錄



▲腳踝會腫脹一部分是因為受傷與有傷口,另一方面是因為循環不良,最有用的方式就是抬高下肢,術後前期主要有兩個復健運動可以做
1.將腳踝及腳趾往上翹後再下壓,以利增加下肢循環
2.直抬腿運動: 平躺後,伸直膝蓋並抬高整條腿(老實說烏梅這個動作辦不太到,腳會超級痠加無力)
所以多做腳踝的上下壓運動也是可以的,只要有動就會有好的循環,以利患肢消腫~不動就會更腫!
-
患肢腫脹靠這個 – 釘地蜈蚣
✅消腫好物 – 倒地蜈蚣(蜈蚣草)
腳傷後,每個人見到我的問候語都是,有沒有喝釘地蜈蚣?
這款中醫藥材,我以前真的沒有聽過,原來這是扭傷消腫的良藥,但因性質偏寒,有些人喝了會腹瀉,有些人喝了沒用,總之,就是不見得每個人都適合,左踝關節開刀後,足背一直都蠻腫的,消腫的速度很慢,我也比較佛系,因為傷口還沒拆線前,我比較在意傷口的復原變化,足背腫脹我就是多墊高腿休息,但自傷口拆線後,我才大幅關注患肢腫脹狀況,一連喝了幾天的倒地蜈蚣水+努力抬高腳,消腫狀況才明顯的大幅改善,當然也可能是術後的正常復原狀態,終於可以摸到足背的骨頭與有彈性的血管,帶來一種我好像快好了的希望感

-
下床的地獄魔王 – 血液循環之痛

▲術後第一週,患肢無時無刻都腫脹緊繃,有個很要命的不舒服感覺,是在要下床的瞬間,會感受到傷口處與下肢瞬間的腫脹跟脹裂感,就好像血液瞬間像腳衝下,那種感覺非常非常不舒服,我現在想到還是會起雞皮疙瘩,但只能夠忍耐,隨著慢慢復原,這種感覺會逐漸消失
-
骨折傷後心態
✅骨折傷後的心態
腳骨折受傷後,有各種心態崩壞,其中最難受的就是短暫失能的無力感,身為母職,當你發現你連簡單的泡奶都成問題,你無法獨自帶著孩子去公園玩耍,無法顧到她的安全,甚至連孩子洗澡都需要家人的幫忙,更別提洗衣服、煮菜、掃地與拖地這些家務,在患肢不能負重的狀態,上述的家務都有一定的危險,預防二次跌倒是術後最重要的事情
一切的生活都脫離了正軌,沒有原本的生活品質,在邁向術後第四週的日子裡,低潮也隨著傷口不會痛了而消散,生活功能已隨著疼痛趨緩與訓練的幫助下,很多事情都可以獨立完成,慶幸我的雙手還可以修照片、寫寫文章,可以做有興趣與自己喜歡的事情,看著屬於自己的照片夥伴們,無論是風景、美食、旅行、生活或孩子,這都是讓我帶有希望感的泉源呢,所以有相同困擾的朋友,一定要找到你可以做且也會讓你開心的事情,骨傷一開始難免還是會經歷到這一個低潮關卡,一起加油!

-
骨折後營養補充

▲鈣片、滴雞精、維他命c、膠原蛋白等等,都是可以日常補充,還有就是喝牛奶也很重要噢,再者我認為有好的心情、好好的休息,會更加速復原
▲滴雞精喝純煉|好險家裡有備著原味滴雞精,術後就趕緊喝起來了,口味品嘗起來跟現煮雞湯一樣溫潤順口


▲烏梅媽煮的每一餐都很營養,每一樣都是我愛吃的,也沒特別吃什麼補湯,大概就是有多吃了一些雞爪~
▲還有朋友送的甜點療癒我~
-
術後八週療養全紀錄
-
第一週(住院) – 疼痛不適很難受
術後第一週就是跟疼痛為伍,患肢仍會腫脹,在夜裡也會痛的明顯,尤其是初下床時的脹痛感非常難受,很容易就會讓人不敢下床,只想躺床休息,醫院提供的口服藥都有乖乖吃,大多是止痛藥、助循環的藥物,在醫院裡有專業醫療團隊照顧,一切都很平安順利,但心裡難免會擔心,出院回家要怎麼辦?!

-
第二週 – 學習面對不便的生活
術後第二週的心裡調適更多了,要學習面對不方便的生活之外,腳的感覺逐漸豐富了起來,像是腿部感覺開始活耀,抽痛、脹感、搔癢感或維持太久姿勢出現的麻木感,甚至睡夢中都會無意識活動腳踝的角度,導致被痛醒,這些都在一一浮現,日常使用助行器活動的距離也在增加中,持續每日換藥的日常,並迎來了術後兩週的拆線了

-
第三週 – 漸入佳境的舒服狀態
患肢的水腫仍存,但在積極抬高下肢之後,消腫變得好明顯,且睡眠變得越來越好了,睡眠品質提高很多,夜裡也幾乎不會再被痛醒,日常也幾乎不會感受到傷口的疼痛,不過活動腳趾時仍有些微微的麻木感,使用助行器活動的距離也變得更長,是個變得舒服的狀態,也滿心期待第六週的到來

-
第四週 – 心態很正向,滿滿希望感
活動上受限改善了許多,疼痛感幾乎沒有了,拆線後的傷口結痂也持續在掉落,心態上變得更正向了,可能因為吃得好睡得好,殷殷期盼就是回診評估骨癒的狀態,儲備了很多能量,準備面對下一個關卡,復健!

-
第五週 – 穩定的開始
術後第五週的回診照X光,醫師說骨頭癒合狀況良好,基本上不會有問題囉,算是提早畢業了!可以開始練習穿副木直接腳踏地,不負重的時候就活動腳踝,預計第六週就可以拆除副木,進行下一階段的步行

-
第六週 – 復健關卡我來了|移除副木、助行器
慢慢移除副木囉,肉眼可見左小腿的肌肉明顯萎縮了,雖然站立時間變長,但是腳踝可活動的角度依舊很受限,不過站立著地的感覺要慢慢找回來,移除副木後還是要用助行器進行適當的負重練習步行,「媽媽,一步就一步,兩步就兩步,這樣就會走路了」,阿珊教我如何走路,這小女孩每天都搶先走在我的助行器前,一手扶著我的助行器,嘴裡邊唸著「小心喔,媽媽小心喔」,從一開始的活動腳踝到學習站立,這是人生第二次重新學習走路的日子,有小寶貝陪著復健,想想也是很幸福。
以前我們陪她學走路,謝謝她現在陪我走路。

-
第七、八週 – 原來我是會走路的呀!
「啊!原來我是會走路的呀」
遇到佛系醫生,沒衛教我太多關於復健的內容,加上可能他認為我是醫護背景,所以所有的復健日程都是靠我自己安排,沒有太參考制式化的復健運動,終究要回歸日常,所以我們南投家有後山,就每天都外出去爬山,當成自己的小復健
從練習踩地➡️助行器步行➡️獨自步行,大約花了兩週的時間,可以不使用助行器平面步行,步態不搖晃,但姿態跛行,我發現兩週的時間像是一個訓練值,復健時程每當過了兩週,就會有明顯的差異,習慣性跟肌肉記性會慢慢恢復,走了30多年的路,怎麼可能不會走路了呢,我跟自己這樣說

-
術後三個月回歸日常
術後三個月第一次遠門就是去了高雄三天兩夜的家族旅行,全程就沒有使用輔具或助行器,靠著自己有點跛行的步伐,很幸福也很幸運的能在高雄港都,享受著浪漫風情,那是如此深深的療癒著我,這趟他人看似輕鬆的一段路,卻是花了好幾個月,很感謝家人一路的陪伴與照顧,這篇骨傷日記算是我人生的痛,也是我的心情,現在的狀態算挺良好的,畢竟不是年輕人了,加上主治醫師說鈦合金鋼板不必移除,所以沒計劃再次開刀取出鋼板

-
總結
骨折後的復健運動很重要,可以參考網路上有許多腳踝骨折的復健運動,但我覺得每個人都有自己的節奏,有動力最重要,所以骨傷後我們家已經國外旅行3次,一日萬步以上沒問題,旅行步行對我來說就是最好的復健,一年後的回顧,目前腳的活動狀態也是穩穩的唷!若你也有遇到腳踝骨折的問題想要討論,可以到粉絲頁留言跟我們分享喔~


No Comments